当前位置:首页>核心技术>神经干细胞
    相关知识
神经干细胞

ALS 治疗新希望 ---- 神经干细胞移植

密歇根大学 Feldman 博士等研究者,报道了美国食品和药物管理局批准的:“临床 I 期,开放性标签,首次应用于人类的试验 ---- 使用人类脊髓源性神经干细胞移植治疗肌萎缩侧索硬化症(ALS)的可行性与安全性研究”的研究结果。主要目的是评价将干细胞移植到腰髓或颈髓区域 ALS 治疗方法的安全性与可行性。文章发表在 3 月的 Ann Neurol 杂志上。

肌萎缩侧索硬化症(ALS)--- 以运动神经元变性为特征的一种致命的神经退行性疾病。目前尚无有效治疗措施,因此对应用干细胞治疗 ALS 方法的关注日益增多。干细胞本身具有分化潜能,使其可能替代损失的运动神经元细胞,提供神经营养因子的支持,并且改善疾病的微环境。

体内体外的实验研究结果均支持干细胞移植疗法。并且有研究发现人类脊髓来源的干细胞(HSSCs)可提供保护性生长因子,分化成神经元;并且在建立的 ALS 动物模型 ----G93A-SOD1 大鼠身上,进行 HSSCs 椎管内移植取得了很好的效果。

2009 年,美国 FDA 批准了临床 I 期试验检测椎管内注射 HSSC 细胞的安全性与可行性研究。HSSCs 的注射是通过专门研发的一种稳定、新型的椎管内注射装置。在首次 12 例研究中,代表组 A 到组 C 患者,接受 HSSC 移植入腰椎 L2–L4 段脊髓区内。A 组为无法行动患者,B 组、C 组为可行动组。这 12 例 HSSC 移植案例没出现严重的不良反应。

这些鼓舞人心的结果伴随着 ALS 患者需要维持呼吸功能的需求,使得 FDA 批准在颈椎 C3-C5 段脊髓区注射 HSSC 的研究,该区域涉及膈肌运动神经元。分为 D 组、E 组,接受 5 次单侧颈椎注射。


基于临床前数据证明多脊髓节段注射 HSSC 能加强疗效,所以 E 组为先前接受双侧腰椎注射的 C 组的一部分。该组为首次评价,使用不同手术对腰椎及颈椎区域均进行注射的方法、安全性的研究。I 期试验有 18 例椎管移植手术组成,其中 15 例在 2013 年 5 月完成。具体见下表:


如表一所示,共发生了术后的 7 例死亡。如之前报道的一样第 6 例患者于术后 8 个月时由于先天性心脏病意外死亡,第 3 例术后 13 个月的死亡,是由于疾病进展导致的呼吸衰竭。第 1、5、9、13、14 例的患者,也是因 ALS 疾病进展相关的呼吸系统并发症导致的死亡。
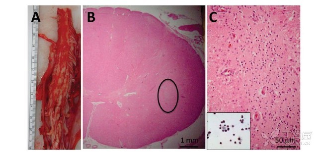
对这些死亡的患者进行尸检,移植区域通过标准病理分析,没有发现出血、囊性病变或炎症反应。第 14 例患者的形态学研究结果很有代表性(具体如图一)。

图一:第 14 例患者中的神经病理发现

尸检后完整的颈椎脊髓图:对移植区域进行连续切片检查,未显示有囊性病变区,出血或明显的组织破坏 (B)HE 染色显示横截面形态完整。有一个细胞巢(圈出部分)并不是脊髓固有的,并且不被胶质细胞或神经元标志物染色 (C)通过更高分辨率显示 B 图中圆圈内细胞的形态,令人回想起移植前干细胞的形态。
图中的患者接受颈椎注射并且在术后 7 个月死亡。尸检后发现在移植区域并未发生异常,但是发现了可能有移植细胞组成的细胞巢。
本文主要呈现了 6 例(D、E 组)颈椎注射干细胞患者的功能性结局,包括 3 例接受单侧颈椎和双侧腰椎 HSSC 移植者。具体见图二、图三:


图二:D 组患者病情进展的评估(第 13-15 例患者的评估)
(A)ALSFRS-R--- 萎缩侧索硬化症功能评分量表修订版,(B)FVC--- 用力肺活量, (C,D) HHD--- 手持式肌力测定仪,(E,F)GST--- 握力评估,(G,H)EIM--- 电阻抗肌动描记法。X 轴表示的为术前或术后的时间(手术日 =0)。显示,术后没有任何功能的急速下降。第 14 例,检测数值为 0 的天数为死亡日期。


图三:E 组病情进展的评估
检测项目名称同图二。X 轴的天数代表进行腰椎手术的前后。结果显示,术后没有任何能力的急剧下降。图中虚线代表的是从接受腰椎注射到进行颈椎注射的天数。并且图中第 11 例患者(紫色)在 ALSFRS-R 以及 HHD 检测中都发现明显改善。
研究者还分析了连续随访的最初 12 例接受腰椎注射的患者的相关数据。整体上,研究显示进行腰椎及颈椎 HSSCs 移植是安全有效的。
颈髓注射途径的耐受性很好,并且在所有注射组中没有出现加快病情进展的情况,证明颈椎及双定位方法是安全可行的。分析预后数据,初步发现了干细胞生物活性的潜在窗口期,并确定临床评估手段与萎缩侧索硬化症功能评分量表修订版关系紧密 --- 标准的 ALS 临床试验的评估方法。
研究意义:本文首次报道了 ALS 患者接受颈髓双定位 HSSCs 移植方法的安全性与可行性。提示未来研究应进一步确定细胞的使用剂量并且对疗效进行评估。

本文摘自:丁香园